
STOMO Clinic Dentysta | Stomatolog | Ortodonta | Implanty zębów | Bonding | Licówki | Protezy Na Implantach
Lokalizacja
Ladowanie mapy...
Powstańców Śląskich 60, 53-333 Wrocław, Polska
O firmie
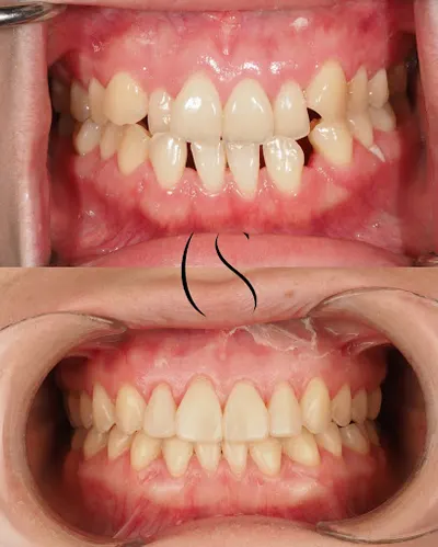
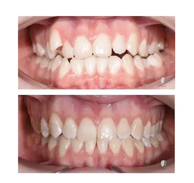
STOMO Clinic to nowoczesna przychodnia stomatologiczna we Wrocławiu, zlokalizowana przy ul. Powstańców Śląskich 60. Specjalizuje się w kompleksowej opiece dentystycznej, w tym ortodoncji, implantach zębów, bondingu, licówkach oraz protezach na implantach. Klinika cieszy się oceną 4.2/5 w Google na podstawie 187 opinii, co świadczy o solidnym poziomie usług w oczach pacjentów. Pacjenci chwalą profesjonalizm zespołu, w tym dokładne wyjaśnianie planów leczenia, kosztów i etapów zabiegów przed ich rozpoczęciem. Szczególne uznanie zdobywa dr Anna Duda za leczenie ortodontyczne nakładkami clear aligner – komfortowe, dyskretne i skuteczne rozwiązanie, które przynosi naturalne efekty. Dobrze oceniane są też wizyty z dziećmi u dr Zofii, gdzie empatyczne podejście pomaga nawet w trudnych przypadkach, oraz bezbolesne zabiegi, jak usuwanie ósemek czy protezy na implantach. Klinika wyróżnia się łatwą rezerwacją online, obsługą po angielsku i nową, nowoczesną siedzibą, co buduje poczucie komfortu i bezpieczeństwa. Mimo większości pozytywnych recenzji, zdarzają się głosy krytyki, np. dotyczące braku inicjatywy w niektórych wizytach pediatrycznych. STOMO Clinic to miejsce dla osób szukających rzetelnej stomatologii w dogodnej lokalizacji Wrocławia. (198 słów)
Co mowia klienci
“Opinie są w przeważającej mierze bardzo pozytywne (5/5), chwalące profesjonalizm lekarzy, zwłaszcza Dr Anny Dudy i Dr Zofii. Pacjenci podkreślają empatyczne podejście do dzieci, dokładne wyjaśnienia leczenia ortodontycznego nakładkami clear aligner oraz bezstresową atmosferę. Jedna negatywna opinia wskazuje na rozczarowanie brakiem inicjatywy wobec trudnego małego pacjenta.”
Mocne strony
- Profesjonalizm i szczegółowe wyjaśnienia planu leczenia
- Empatyczne podejście do dzieci i bezstresowe wizyty
- Wygodne, dyskretne nakładki clear aligner
- Miła atmosfera i bezbolesne zabiegi
- Doskonała obsługa recepcji
Do poprawy
- W pojedynczym przypadku brak inicjatywy wobec trudnego dziecka
Idealne dla
Idealna dla rodzin z dziećmi oraz pacjentów szukających komfortowego leczenia ortodontycznego nakładkami.
Kategorie
Podobne firmy w okolicy

Orto Face - Ortodonta Wrocław
M-dent Magdalena Nadolna-Karpińska

mf.dent STOMATOLOGIA - ortodoncja, Invisalign, protetyka, endodoncja, stomatologia

Prime Dental

Centrum Ortodontyczne OrthoLine Patrycja Downarowicz

Ortodonta OrthoTeam Stomatologia Warmuz - Implanty zębowe
Inne firmy w okolicy

DCG Centrum Medyczne

dr Małgorzata Markuszewska Medycyna Estetyczna Botox Zabiegi Hifu Powiększanie ust Wolumetria Twarzy Usuwanie Zmarszczek

SERWIS LAPTOPÓW WROCŁAW-KRZYKI (SKiL)
UNI PLUS

Dr n. med. Paweł Piotrów - Urolog i Androlog

dr n. med. Agnieszka Janus

Dr n. med. Jerzy Medyński

Biskup & Joks Brokers Sp. z o.o.
Patryk Pawłowski Firma Remontowo-Budowlana PATBUD

SPEKTRUM Wrocław – Ośrodek Okulistyki Klinicznej
Izba Komornicza

Rachexpert Biuro Rachunkowe

Celestial Medycyna Estetyczna Wrocław

Kancelaria Rzeczników Patentowych FTIP sp. z o.o.

KredytEkspert - Doradca Kredytowy Wrocław

Kancelaria Radcy Prawnego Mateusz Płudowski

Wrocławskie Centrum Kredytowe - Doradca Kredytowy Wrocław
Szprinterek
KANCELARIA BIEGŁYCH REWIDENTÓW ZAPOTOCZNY I PARTNERZY

Pure Rental Apartments - Apartamenty Wrocław